Fabrication de prothèses adjointes
Pour répondre aux cas d'édentement total ou partiel de vos patients, vous avez besoin d'un partenaire fiable pour la fabrication de prothèses adjointes. Le laboratoire CERAMFIX met son expertise au service de votre cabinet pour concevoir des appareils amovibles qui assurent confort et esthétique.
CERAMFIX, laboratoire dentaire - votre fabricant de prothèses adjointes
Grâce à une maîtrise des dernières techniques et à l’utilisation de matériaux performants, le laboratoire CERAMFIX propose des prothèses adjointes légères, solides et parfaitement adaptées à la morphologie buccale. Chaque réalisation est pensée pour offrir une stabilité optimale et un rendu esthétique naturel, afin d’améliorer durablement la qualité de vie des patients. En véritable partenaire de confiance pour les professionnels, nous travaillons main dans la main avec les praticiens pour garantir des réalisations adaptées.
Quelles solutions de prothèses amovibles pour vos cas cliniques ?
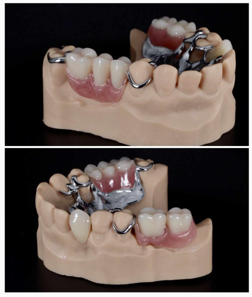
Nous réalisons des prothèses complètes (bi-maxillaires ou unimaxillaires) et partielles en résine. Pour les édentements partiels, nos châssis métalliques, ou stellites, en chrome cobalt et en titane offrent une solution idéale.
En alternative, nous proposons des solutions sans métal, comme les prothèses flexibles en Valplast ou les châssis en résine acétal ou en PEEK, qui combinent légèreté, esthétique et une excellente biocompatibilité.
Au service des professionnels pour l'approvisionnement de prothèses adjointes
Notre savoir-faire couvre une large gamme de réalisations pour répondre aux différentes demandes.
- Solutions complètes et partielles en résine
- Stellites à châssis métallique (Chrome Cobalt, titane)
- Prothèses flexibles (Valplast) et châssis en PEEK
- Gouttières occlusales et de blanchiment (thermoformées).
- Plan de surélévation occlusal (Conception CFAO)
Chaque appareil est conçu pour assurer une fonctionnalité et un confort optimaux pour vos patients.
Contactez dès à présent notre laboratoire de conception, à votre écoute depuis 1993
Notre équipe est à votre disposition pour répondre à toutes vos demandes et vous accompagner dans vos projets. N’hésitez pas à nous appeler directement pour échanger avec nos spécialistes en prothèses dentaires, ou à remplir notre formulaire de contact en ligne : nous reviendrons vers vous dans les plus brefs délais. Avec plus de 30 ans d’expérience, le laboratoire met son expertise et sa réactivité au service des praticiens.
