Fabrication de prothèses conjointes métalliques
Le laboratoire CERAMFIX accompagne les chirurgiens-dentistes dans la fabrication de prothèses conjointes métalliques, une solution de choix pour les restaurations exigeant une résistance et une durabilité maximales. Nous mettons notre expertise à votre service pour concevoir des armatures d'une grande précision.
Prothèses conjointes métalliques | CERAMFIX, laboratoire dentaire en France
Notre laboratoire, partenaire des cabinets dentaires depuis 1993, maîtrise l'ensemble des techniques liées aux alliages dentaires. Nous sélectionnons rigoureusement nos matériaux, comme le chrome cobalt, pour leur biocompatibilité et leurs propriétés mécaniques reconnues. Chaque restauration est le fruit d’une collaboration étroite avec le praticien, afin de respecter scrupuleusement vos prescriptions et d’assurer une intégration parfaite pour le patient. Notre service de livraison couvre l'ensemble du territoire national pour répondre à vos besoins où que vous soyez.
Quels sont les avantages des prothèses à armature métallique ?
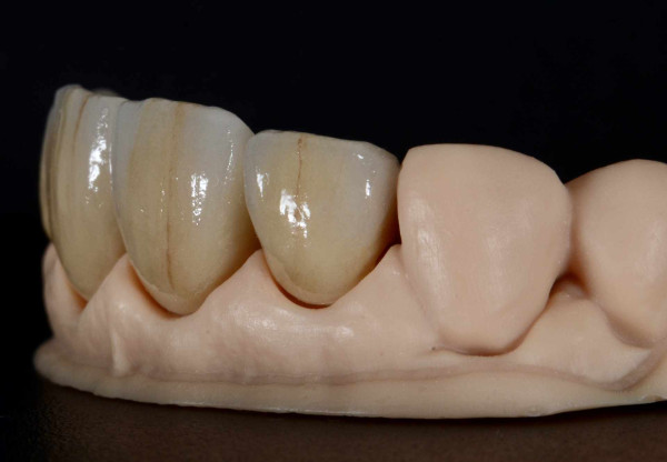
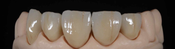
Les restaurations à base métallique offrent une longévité et une robustesse exceptionnelles, ce qui en fait un choix de premier ordre pour les restaurations unitaires ou plurales. Elles servent de base solide pour les couronnes céramo-métalliques, alliant ainsi la résistance du métal à l'esthétique de la céramique. Leur précision d'ajustage est un atout majeur pour la réalisation de bridges de grande portée ou pour la reconstitution de dents très délabrées à l’aide d’un inlay-core, garantissant la pérennité de l'ensemble de la restauration prothétique.
Nos réalisations en prothèses conjointes métalliques
Notre savoir-faire nous permet de vous proposer une gamme complète de solutions.
- Couronnes céramo-métalliques (CCM)
- Couronnes métalliques pleines
- Armatures de bridges
- Inlays-core pour reconstitutions coronoradiculaires
Chaque armature est conçue pour garantir une adaptation précise et une longévité maximale à vos restaurations.
Contactez-nous pour la fabrication de prothèses conjointes métalliques
Pour toute information sur nos solutions ou pour discuter d'un cas clinique, notre équipe de prothésistes est à votre disposition. Composez notre numéro de téléphone ou remplissez le formulaire en ligne pour obtenir rapidement un devis. N'hésitez pas à vous rapprocher de notre équipe pour tout besoin de fabrication de prothèses conjointes zircone.
